当前位置:肿瘤瞭望>资讯>研究>正文

例精图治丨十年生存不是梦!一例HER2+/HR+脑转移患者的全程管理

作者:肿瘤瞭望   日期:2021/10/19 10:16:21  浏览量:16431

肿瘤瞭望版权所有,谢绝任何形式转载,侵犯版权者必予法律追究。

脑转移对于转移性乳腺癌(MBC )患者来说,往往是疾病的后期。MBC的中位生存期大约为3年,但当癌细胞转移至大脑时候,其生存期便显著缩短。研究提示,乳腺癌脑转移患者的中位生存期,以三阴性乳腺癌 (TNBC) 最短,仅仅6个月,HER-2阳性晚期乳腺癌患者,由于有了一系列有效的抗HER-2靶向单抗药物和小分子TKI药物,其中位生存期甚至达到21个月不等。特别是随着越来越多能穿过血脑屏障并靶向作用肿瘤的药物应用于临床,晚期乳腺癌患者的预后得到了长足改善。本文分享一例HER-2阳性、HR阳性(三阳性)乳腺癌脑转移患者病例,根据CSCO乳腺癌诊疗指南建议,这类三阳性复发转移乳腺癌患者,优先考虑抗HER-2靶向药物联合化疗的策略。HER-2靶向治疗联合化疗达到疾病稳定的患者,化疗停止后,应该选择抗HER-2靶向药物联合内分泌药物的维持治疗。该病例在接受以含抗HER-2靶向药物的标准治疗疾病进展后,选择抗HER-2联合内分泌治疗获得了较长的疾病缓解疗效。

编者按:脑转移对于转移性乳腺癌(MBC )患者来说,往往是疾病的后期。MBC的中位生存期大约为3年,但当癌细胞转移至大脑时候,其生存期便显著缩短。研究提示,乳腺癌脑转移患者的中位生存期,以三阴性乳腺癌 (TNBC) 最短,仅仅6个月,HER-2阳性晚期乳腺癌患者,由于有了一系列有效的抗HER-2靶向单抗药物和小分子TKI药物,其中位生存期甚至达到21个月不等。特别是随着越来越多能穿过血脑屏障并靶向作用肿瘤的药物应用于临床,晚期乳腺癌患者的预后得到了长足改善。本文分享一例HER-2阳性、HR阳性(三阳性)乳腺癌脑转移患者病例,根据CSCO乳腺癌诊疗指南建议,这类三阳性复发转移乳腺癌患者,优先考虑抗HER-2靶向药物联合化疗的策略。HER-2靶向治疗联合化疗达到疾病稳定的患者,化疗停止后,应该选择抗HER-2靶向药物联合内分泌药物的维持治疗。该病例在接受以含抗HER-2靶向药物的标准治疗疾病进展后,选择抗HER-2联合内分泌治疗获得了较长的疾病缓解疗效。

 
病例报告作者
 
 
李权 教授
 
温州医科大学附属第一医院 乳腺外科
 
副主任医师、肿瘤学博士
 
浙江省抗癌协会乳腺癌专委会青年委员
 
浙江省中西医学会乳腺病专委会青年委员
 
浙江省免疫学会临床免疫专委会青年委员
 
浙江省医师协会甲状腺疾病专业委员会常委
 
浙江省抗癌协会整合肿瘤专业委员会委员
 
荣获2017中国青年医师乳腺癌手术视频大赛浙闽赣赛区一等奖
 
入选温州市551人才
 
擅长于乳腺良性肿瘤的微创美容手术;乳腺癌改良根治术,保乳术及整形重建手术;乳腺癌化疗、分子靶向治疗及内分泌治疗;晚期乳腺癌的综合治疗。
 
病例介绍
 
▌基本情况
 
患者,女性,现年56岁;47岁绝经,否认有家族肿瘤病史,无其他基础疾病史。
 
▌诊治过程
 
1.确诊及手术治疗:
 
a.手术方案:2011年3月在复旦大学上海肿瘤医院行“左乳癌改良根治术”。
 
b.常规病理:左乳符合浸润性导管癌,乳头、切口皮肤、基底剥离面均未见癌残留,左腋下淋巴结未见癌转移(0/15);免疫组化检测:ER-α(++)、PR(++)、HER-2(+++)。
 
术后辅助治疗:
 
a.辅助化疗:CEF(CTX+表阿霉素+5-FU)4疗程序贯每周紫杉醇联合曲妥珠单抗(紫杉醇连续12周,曲妥珠单抗计划连续一年)。
 
b.辅助化疗完成后(2011年9月),给予三苯氧胺(10mg,bid ),同时曲妥珠单抗使用至满 1年。
 
2011年 术后每3个月规律复查,未见明显异常
 
2.病情第1次进展:
 
2013年11月患者因出现头痛半月给予头颅CT检查,结果提示,左侧顶颞叶占位首先考虑,停服他莫昔芬内分泌药物。
 
 
a. 手术方案:2013年11月至上海华山医院行“左侧顶颞叶占位切除手术”。
 
b. 病理及免疫组化:左顶叶转移性乳腺癌,ER-α(++)、PR(++)、HER-2(+++)
 
术后治疗:
 
a.2013年12月返回当地医院行全脑放疗,剂量为:3Gy/次,共10次。期间予以口服替莫唑胺治疗(150mg qd、2周)。
 
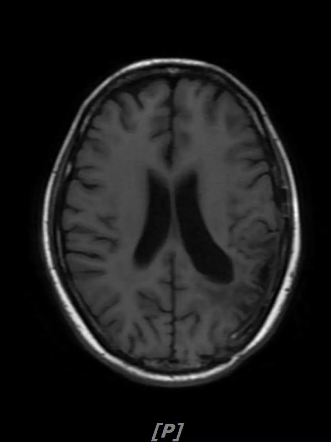
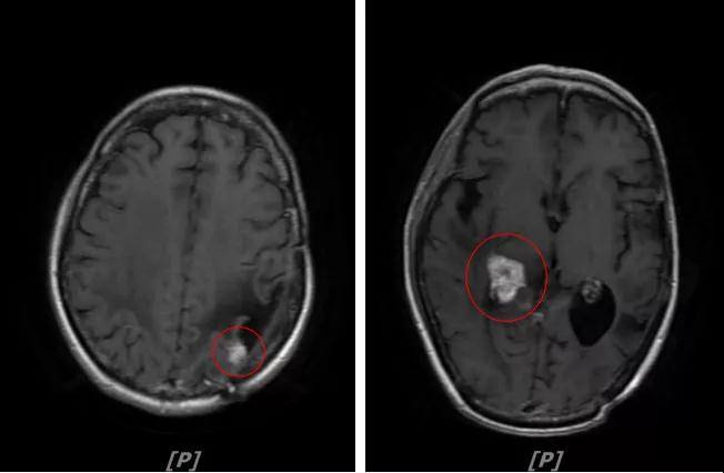
b.2014年3月全脑放疗结束后,予以LX方案治疗(拉帕替尼 1250mg qd+卡培他滨 1500mg bid)。每3个月规律复查,未见明显异常。下图为2014年6月患者行头颅增强MR检查,提示左顶叶脑转移瘤术后改变。
 
 
c.2015年2月患者因较严重的手足综合征(毒性分级3级),停卡培他滨(2015年2月中旬),给予单药拉帕替尼维持治疗,并加用阿那曲唑(1mg,qd)内分泌治疗。
 
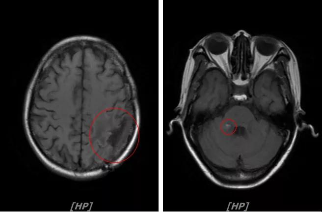
每3个月规律复查,未见明显异常。如2015年8月 头颅MR检查,提示:左顶叶脑转移瘤术后放疗后改变,对比前片2015年3月10日相仿。
 
 
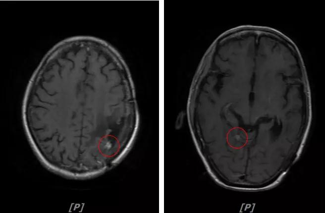
3.病情第2次进展: 2016年12月患者再次出现头痛症状
 
头颅增强MR:左侧顶枕叶见片状T1WI低信号、T2WI高信号影,增强后病灶边缘见局部斑片状强化改变,邻近脑膜轻度强化改变;右侧脑室三角区内侧见大小约8x14mm的结节影,T1WI低信号、T2WI等高信号,增强明显强化,灶周水肿明显;两侧脑室旁见片状异常信号,T1WI低信号,T2WI高信号,增强未见明显强化,余脑室、脑池、脑沟大小形态可,中线结构居中无移位
 
左顶叶脑转移瘤术后放疗后,左顶叶术区边缘强化灶;考虑肿瘤复发
 
右侧脑室三角区内侧转移瘤
 
两侧脑室旁云絮状异常信号,考虑放疗后改变
 
 
患者一线治疗的PFS为37个月。2017年1月,患者二线治疗为在原“拉帕替尼+阿那曲唑”基础上,加曲妥珠单抗治疗。患者头痛症状有所改善,病灶缩小,继续定期复查。
 
 
4.病情第3次进展:2018年10月患者头痛症状又加重
 
头颅增强MR:左侧顶颞叶见片状T1WI低信号、T2WI高信号影,病灶大部信号接近脑脊液;增强后可见左侧额叶、顶叶、两侧海马及右侧小脑半球呈多发斑点状、结节样明显强化,大者大小约14x11mm,较2016-12-11增强老片病灶增大、增多;两侧半卵圆区、侧脑室旁见较对称片状T1WI低信号、T2WI高信号影,增强后未见明显强化( 较2017-8-9MR老片稍明显) ;余脑室、脑池、脑沟大小形态可,中线结构居中无移位。左侧上颌窦粘膜轻度增厚
 
左顶颞叶转移瘤治疗后改变;脑内多发强化灶,考虑转移,较前增大增多
 
两侧脑室旁云絮状异常信号:考虑放疗后改变
 
 
患者二线治疗的PFS为22个月,2018年11月患者给予后续解救治疗为吡咯替尼(400mg/d)联合阿那曲唑;患者头痛症状好转,病灶继续缩小,继续定期复查。
 
 
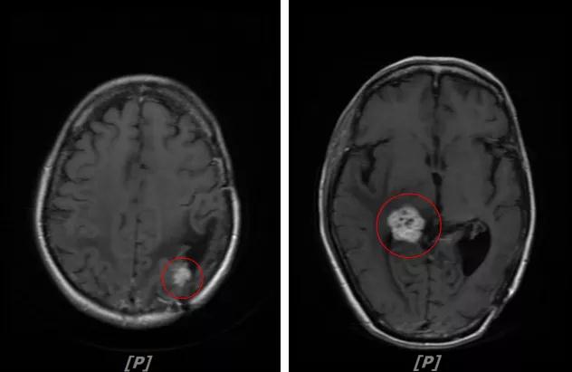
5. 病情第4次进展:2019年11月患者出现视野模糊等症状
 
头颅增强MR:左侧顶颞叶见片状T1WI低信号、T2WI高信号影,病灶大部信号接近脑脊液,增强后术区边缘左侧顶叶见结节状强化影,大小约10x8x11mm,较2019-03- 15MR老片大致相仿;右侧脑室三角区见结节样T1WI等低信号、T2WI不均匀稍高信号影,增强后不均匀明显强化,大小约24x18x20mm,较2019-03-15MR老片明显增大;两侧半卵圆区、侧脑室旁见较对称片状T1WI低信号、T2WI高信号影,增强后未见明显强化,较前片相仿;余脑室、脑池、脑沟大小形态可,中线结构向左偏移。
 
左顶颞叶转移瘤治疗后改变
 
右侧脑室三角区旁强化结节,较2019-03-15MR老片明显增大 左侧顶叶强化结节,较2019-03-15MR老片大致相仿
 
两侧脑室旁云絮状异常信号,考虑放疗后改变
 
 
患者三线治疗的PFS为14个月,2019年12月给四线治疗为“吡咯替尼+阿那曲唑”基础上联合曲妥珠单抗。
 
患者视野模糊等症状有所改善,继续定期复查。
 
 
6.病情第5次进展:2020年5年患者头痛等症状进一步加重
 
头颅增强MR:左侧顶叶皮层区见不规则片状T1WI低信号、T2WI高信号影,病灶大部信号接近脑脊液,增强后无强化,其边缘见结节样明显强化影,平扫近似等信号,大小约12x12mm,较2020-02-11MR老片略增大,左侧脑室三角区不均扩大;右侧颞叶-丘脑区见结节样T1WI等低信号、T2WI不均匀高低混杂信号影,增强后不均匀明显强化,大小约24x23x26mm,较前片增大,似见累及胼胝体压部;两侧半卵圆区、侧脑室旁、基底节区及右侧丘脑、颞叶见融合团片状T1WI低信号、T2WI及Flair高信号影,增强后未见明显强化,较前片相仿;余脑室、脑池、脑沟大小形态可,中线结构向左偏移。左侧乳突区见T2WI高信号影充填。
 
颅脑转移瘤治疗后观
 
左顶叶强化结节、右侧颞叶-丘脑区结节影:较前片增大
 
幕上脑白质融合异常信号:符合放疗后改变
 
 
患者四线解救治疗的PFS为5个月。2020年6月改用T-DM1方案治疗(恩美曲妥珠单抗,160mg,21d重复),同时改用依西美坦(25mg,qd)
 
患者头痛等症状明显好转,病灶持续缩小,继续定期复查。
 
 
整个过程,该患者肿瘤指标变化不明显,仅CEA轻微升高
 
 
病史总结如下图:
 
 
病例点评专家
 
 
王晓稼 教授
 
中国科学院大学附属肿瘤医院
 
院长助理 科教科长
 
乳腺内科主任  博士  博士生导师  主任医师
 
国家卫健委合理用药专家组成员兼乳腺癌实践基地主任
 
国家肿瘤质控中心乳腺癌专委会成员
 
浙江省肿瘤诊治质控中心副主任
 
CSCO乳腺癌专家委员会副主委
 
中国抗癌协会乳腺癌专业委员会常委
 
浙江省抗癌协会肿瘤内科专业委员会主任委员
 
浙江省乳腺癌专业委员会主任委员
 
浙江省省免疫学会副理事长
 
浙江省转化医学学会副理事长兼精准医学分会会长等
 
专家点评
 
乳腺癌转移至中枢神经系统(CNS)的患者预后最差。复发转移性TNBC患者,脑转移风险可超过50%。HER-2阳性患者脑转移约为25%-50%,而激素受体阳性MBC患者则大约15%。当乳腺癌患者发生脑转移时,治疗策略应兼顾控制颅内肿瘤,尤其是优选可穿越血脑屏障的抗肿瘤药物,结合局部治疗,这样患者可获得长期、有效的颅内和颅外肿瘤控制。对于单发的脑部转移灶,争取手术切除,并结合肿瘤重新组织病理检查和免疫组化分析(雌激素受体、孕激素受体和HER-2状态等),进一步明确诊断分子分型,以及是否存在肿瘤的异质性等。有条件的患者可以进行新一代全基因检测(NGS),为患者精准治疗提供依据(如免疫治疗和其他靶向治疗)。
 
本例患者在发生脑转移后及时选择手术治疗,并结合脑部放射治疗和有效的系统治疗,获得了较长的PFS。脑部多次进展后,给予了持续的抗HER-2靶向治疗(通透血脑屏障)联合系统抗肿瘤治疗(化疗或者内分泌治疗)仍然获得较好的PFS;尤其是由于选择了有效的靶向药物,尽管脑部多次进展,但是患者全身颅外疾病一直控制良好,为患者长期疾病控制提供了机会,因此,兼顾颅内和颅外的个体化治疗策略十分重要。
 
本例是三阳性乳腺癌患者,在抗HER-2靶向治疗的基础上联合内分泌治疗取得了非常满意的效果。当然,本例多次选择单靶向药物联合阿那曲唑内分泌治疗、“小分子TKI+卡培他滨”方案时候同步联合内分泌治疗以及T-DM1联合内分泌治疗等策略值得商榷。但是,在曲妥珠单抗和小分子TKI等方案进展后,选择T-DM1的后线治疗仍获得良好的PFS,充分说明T-DM1对于单纯脑转移患者也有确切的疗效。正如EMILIA研究对比了T-DM1与拉帕替尼+卡培他滨治疗曲妥珠单抗治疗失败的HER-2阳性晚期乳腺癌患者的疗效,相对于拉帕替尼+卡培他滨,单药T-DM1二线治疗有着显著的PFS和OS获益。此外,交叉治疗的患者也可从T-DM1治疗中得到OS获益。不仅如此,针对乳腺癌脑转移(BM)的患者人群,T-DM1在OS获益方面表现依然优势明显。T-DM1组和拉帕替尼+卡培他滨组分别纳入了45例和50例基线时合并BM的患者,EMILIA探索性分析表明,OS长达26.8个月,较拉帕替尼+卡培他滨显著延长超1倍(HR=0.382;95% CI 0.18-0.80;P=0.0081),降低了61.8%的死亡风险。此外,EMILIA研究生物标志物分析显示,T-DM1的独特作用机制可以克服PIK3CA突变和PTEN蛋白缺失影响。在安全性方面,没有观察到新的不良事件,患者的总体耐受性良好。
 
转移性乳腺癌脑转移值得关注,这些患者的预后特别差,对现有治疗方案尽管有效,但还需进一步探索。现今,酪氨酸激酶抑制剂(如吡咯替尼、图卡替尼、奈拉替尼和拉帕替尼)以及抗体药物偶联物(如T-DM1和DS8201)等是主要的选择,并可有效延长晚期乳腺癌脑转移患者的生存率,并改善患者生活质量。

本内容仅供医学专业人士参考


脑转移

分享到: 更多