当前位置:肿瘤瞭望>资讯>正文

病例精粹丨浙江省人民医院胃肠胰外科:结直肠癌并发穿孔后怎么办?

作者:肿瘤瞭望   日期:2018/8/26 11:12:43  浏览量:30935

肿瘤瞭望版权所有,谢绝任何形式转载,侵犯版权者必予法律追究。

结直肠癌是消化道常见的恶性肿瘤,而结直肠癌穿孔是结直肠癌的严重并发症之一,病情复杂而凶险,手术难度较高。

编者按:结直肠癌是消化道常见的恶性肿瘤,而结直肠癌穿孔是结直肠癌的严重并发症之一,病情复杂而凶险,手术难度较高。浙江省人民医院胃肠胰外科为浙江省重点学科,主要从事胰腺和胃肠道肿瘤等疾病的外科治疗及相关临床研究。今天,我们为大家分享浙江省人民医院胃肠胰外科名誉主任邵钦树教授带来的两例结直肠癌并发穿孔患者的诊疗经验和心得,以飨读者!


结直肠癌肠穿孔概述
 
结直肠癌是消化道常见的恶性肿瘤,而结直肠癌穿孔是结直肠癌的严重并发症之一。来势凶险,近期死亡率高,可达10-15%,甚至有人报道高达10-56%。
 
目前结直肠癌穿孔的治疗以外科手术最为有效,但结直肠癌伴穿孔的患者大都年龄较大、肿瘤分期较晚,穿孔前有慢性肠梗阻的过程至营养较差,穿孔后有腹腔细菌感染、腹腔肿瘤播散的可能。所以既往很多临床医师对结直肠癌肠穿孔病人缺乏信心,仅行穿孔修补、近端肠管造瘘和控制感染,等待有手术机会的时候再行二期手术切除肿瘤,致使80-90%的患者失去肿瘤手术切除的机会,术后预后极差,远期生存率极低。
 
根据临床观察和查阅国内外文献资料显示:(1)结直肠癌穿孔并不等同于结直肠癌晚期;(2)病理分期相同的结直肠癌不论穿孔与否,远期生存率基本相同;(3)结直肠癌穿孔致腹腔内炎症能阻碍或推迟癌细胞种植和转移。因此,结直肠癌穿孔时期,一期手术切除肿瘤是必要的、安全可行的。
 
病例演练
 
我院近期有2例患者结直肠癌并发穿孔,行一期切除,获得良好疗效。
 
病例一
 
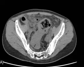
女,33岁,2017年1月9日因反复下腹疼痛2日,再发加重10小时入院,入院查体呈腹膜炎体征,中下腹可扪及约8×12cm大小质硬包块。腹部平片可见膈下游离气体(图1),CT示:乙状结肠肠壁增厚(图2),血常规:白细胞19.6 ×109/L,C反应蛋白54.9mg/L,中粒细胞分类92%,血红蛋白114.0g/L。
图1 膈下游离气体
图2 CT提示乙状结肠壁增厚
 
术前诊断:急性弥漫性腹膜炎:结肠癌穿孔?
 
急诊进腹术中所见:(图3)腹腔内浓性粪臭液体500 mm,乙状结肠可见8×10cm大小肿瘤,已破溃,可见粪性物溢出,肿瘤与盆壁、膀胱、双侧附件关系密切,周围见肿大融合之淋巴结。果断给予乙状结肠癌一期根治性切除。远端封闭,近段结肠造口,腹腔冲洗引流术。
图3 术中所见
 
术后病理:1)乙状结肠中分化腺癌,溃疡浸润型,大小7×7×1.5cm,癌组织浸润至浆膜外,浆膜面大量浓痂覆盖,神经累犯(-),腺管累犯(-);2)手术上下切缘(-); 3)区域淋巴结转移情况:肠系膜根部淋巴结(0/8)、肠系膜淋巴结(0/15)(图4)。
图4 病理结果
 
术后15天出院,分别于2017年2月24日、3月19日、4月9日、5月7日、6月8日、7月15日、8月4日、8月28日行奥沙利铂130mg/m2(Day1)+卡培他滨1000mg/m2(Day1-14)口服化疗共8次。
 
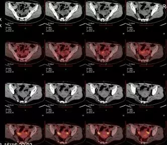
术后随访肿瘤标志物(图5)。术后半年已恢复上班工作,心理及生理健康。2018年3月16日复查PET-CT无复发转移(图6)。2018年3月15日肠镜复查无殊(图7)。2018年3月28日行近段结肠造口纳,术后恢复良好出院,现患者情况稳定。
图5 术后肿瘤标志物变化
图6 术后14月复查PET-CT无复发转移
图7 术后14月复查肠镜无殊
 
病例二
 
77岁男性患者,因中下腹疼痛3天入院,入院查体呈腹膜炎体征,血常规呈感染表现, C反应蛋白209mg/L,术前诊断:急性腹膜炎,消化道穿孔。急诊腹腔镜探查见,腹腔内大量粪性液体(图8)。乙状结肠可见5cm破口,中转开腹见破口远端3cm,乙状结肠有3cm*4cm大小之肿瘤,已浸润浆膜(图9)。
图8 腹腔镜探查所见
图9 开腹探查所见
 
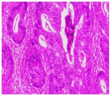
立即行乙状结肠根治性切除,远端封闭,近段造口,腹腔冲洗,术后病理报告(图10),“乙状结肠”癌型,肿块大小3.5×3×1.5cm,中分化腺癌,癌组织浸润至浆膜层,未见明确脉管及神经累犯,标示两端切缘阴性,肠系膜淋巴结结(0/16),未见转移。
图10 病理报告
 
患者由于年龄较大,居住偏远,拒绝化疗。但电话随访,至今仍健康,未复发转移。
 
诊疗心得
 
结直肠癌并发穿孔在临床并不少见,发病率约占结直肠癌的3-8%,这两例病人的穿孔都是在乙状结肠。临床上结直肠癌并发穿孔也是以左半结肠,特别是乙状结肠多见。
 
结直肠癌穿孔常见原因包括:(1)肿瘤生长堵塞肠腔,因为回盲瓣的存在,形成闭袢性肠梗阻,引起肿瘤近端肠腔扩张,肠壁缺血、坏死、穿孔。左半结肠及乙状结肠的血运差,易梗阻。所以左半结肠及乙状结肠癌并发穿孔多见;(2)瘤体侵犯肠壁全层,导致坏死穿孔,特别是高龄性结直肠癌患者,反应迟钝、病史不典型、症状体征不明显、病史叙述不清,常至肿瘤中晚期,引起梗阻,这种结直肠癌穿孔在右半结肠癌患者时有发生。
 
关于结直肠癌并发穿孔的应对策略,首先应该抓住机会,积极手术,手术方式应根据每例结直肠癌穿孔病人个体情况,确定精确方案,遵循“安全,根治,功能”三原则。
 
(一)对于右半结肠癌合并穿孔的患者,若一般情况允许,我们建议行右半结肠根治性切除,一期吻合,腹腔冲洗。因为右半结肠肠内容物多为液态,术中易清理,且回肠血供好,行回肠结肠吻合术后,吻合口漏的发生率低。
 
(二)对于左半结肠、乙状结肠癌伴穿孔一般情况允许的患者,我们建议行左半结肠根治性切除,一期吻合+横结肠或回肠末端造瘘、腹腔冲洗引流。因为左半结肠肠内容物为半固态或固态,含细菌较多;左半结肠肠壁薄,系膜边缘血管弓,当结肠切断后,局部血供不足,尤其是老年人血管硬化,血供更差。加之结肠癌伴穿孔患者大多合并有肠梗阻,肿瘤近端肠管扩张水肿,腹腔感染明显,吻合口瘘发生几率明显增高。在吻合口近端加造瘘,给予大便转流,对吻合口的愈合有决定性的帮助作用。
 
(三)对于乙状结肠、直肠癌合并穿孔,一般情况较好的患者进行根治性切除,近端造口,远端封闭,腹腔冲洗引流。因为癌肿并穿孔发生的部位越低,吻合口瘘发生的风险越高。采用Hartman这种术式,既保证了肿瘤的根治性,又杜绝了吻合口瘘的风险,且手术简便、快捷、安全。
 
(四)单纯穿孔修补,近端结肠双腔造瘘。这种术式主要适合于患者年龄大、穿孔时间长、腹腔感染严重,患者一般情况差或已出现中毒性休克,手术以抢救生命为主。
 
小结
 
 
总之,面临病情复杂、危重的结直肠癌穿孔患者,主治医生一定要镇定、沉着,准确评估病情,科学合理选择手术方式,不能丧失信心,错失大多数可以根治切除肿瘤的机会,使这些患者过早失去生存机会。当然也不能单纯追求根治切除肿瘤,而不顾患者全身恶劣的基本情况而强行开展肿瘤根治切除,徒增患者死亡的风险。
 
专家简介
邵钦树
 
外科学教授,主任医师,浙江省人民医院胃肠胰外科名誉主任,兰州大学第二临床学院特聘荣誉教授,北京中医药大学特聘创新人才,温州医科大学硕士生导师。
 
邵钦树教授目前为中华医学会浙江省外科分会常委、中国抗癌协会全国胃癌专业委员会委员、中国抗癌协会浙江省肝胆胰肿瘤专业委员会委员、日本国胃癌协会会员,中国医师协会全国结直肠外科专业委员会委员,国际胃癌协会会员。
 
撰写发表论文70余篇,其中SCI 12篇,担任《中华消化外科杂志》《中华胃肠外科杂志》《中国肿瘤杂志》《医院与医学》杂志编委。荣获浙江省医药卫生科技进步一等奖一项,二等奖二项,三等奖一项。浙江省政府科技进步二等奖一项,三等奖二项。2011年被评为浙江省十佳医生。目前自主创新的“胃体癌的精准根治术”已被都市快报,浙江在线,生活与健康报等多家媒体报道,并且于2014年10月应第四届国际癌症科学大会组委会邀请在美国芝加哥做专题演讲。
 
科室介绍
 
浙江省人民医院胃肠胰外科为浙江省重点学科,建有浙江省胃肠病重点实验室。主要从事胰腺和胃肠道肿瘤、腹壁疝、肝癌、肝胆结石等外科治疗及相关临床研究,尤其擅长胰胃疾病的微创诊治,提倡以微创手段,实施精准外科手术,从而使患者出血少、恢复快,达到快速康复。
 
科室技术力量深厚,腹腔镜胰十二指肠切除、腹腔镜胃癌手术、腹腔镜切口疝修补术的数量和质量居全国领先、国际前列。重视多学科合作基础上肿瘤综合治疗,开展胃肠道肿瘤伴肝脏转移的综合治疗、腹腔温热灌注化疗等新项目。

本内容仅供医学专业人士参考


病例精粹邵钦树

分享到: 更多