当前位置:肿瘤瞭望>资讯>快讯>正文

中国学者在NEJM发表罕见原发性脑膜黑色素瘤病例报告

作者:肿瘤瞭望   日期:2023/8/22 10:49:03  浏览量:10662

肿瘤瞭望版权所有,谢绝任何形式转载,侵犯版权者必予法律追究。

原发性脑膜黑色素瘤病是一种罕见的中枢神经系统(CNS)肿瘤。因其罕见性以及临床症状无特异性等,其诊断具有较大难度。近期,广东三九脑科医院蔡林波教授及文磊博士在《新英格兰医学杂志》(The New England Journal of Medicine,NEJM)发表了一篇题为《原发性弥漫性脑膜黑色素瘤病》(Primary Diffuse Meningeal Melanomatosis)的病例报告,对这一罕见病例进行了分享。

编者按:原发性脑膜黑色素瘤病是一种罕见的中枢神经系统(CNS)肿瘤。因其罕见性以及临床症状无特异性等,其诊断具有较大难度。近期,广东三九脑科医院蔡林波教授及文磊博士在《新英格兰医学杂志》(The New England Journal of Medicine,NEJM)发表了一篇题为《原发性弥漫性脑膜黑色素瘤病》(Primary Diffuse Meningeal Melanomatosis)的病例报告,对这一罕见病例进行了分享。
 
 
疾病背景
 
中枢神经系统(CNS)原发性黑色素细胞肿瘤是一种极为罕见的肿瘤,年发病率约为千万分之一,包括良性肿瘤和高度侵袭性恶性病变[1-2]。根据2021年世界卫生组织(WHO)CNS肿瘤分类[3],原发性黑色素细胞肿瘤分为弥漫性(diffuse meningeal melanocytic neoplasms)和局限性(circumscribed meningeal melanocytic neoplasms)两大类,弥漫性肿瘤包括脑膜黑色素细胞增生症(meningeal melanocytosis)和脑膜黑色素瘤病(meningeal melanomatosis),局限性肿瘤包括脑膜黑色素细胞瘤(meningeal melanocytoma)和脑膜黑色素瘤(meningeal melanoma)。
 
表1.2021年WHO CNS肿瘤分类
 
原发性CNS黑色素细胞肿瘤在各个年龄段均可发病,且临床症状不典型,患者可出现头痛、恶心、呕吐、肢体麻木、癫痫发作等多种症状。在影像学表现方面,容易与脑膜瘤、室管膜瘤、神经鞘瘤等相混淆[4]。此外,仅根据组织学结果判断良性或恶性也比较困难,尤其是在活检标本材料较少的情况下[4]。总的来说,无论从临床、影像学还是病理学角度来看,其诊断均有较大难度。
 
病例简介
 
该病例报告[5]报道了一例27岁的女性患者,患者因头痛、呕吐、意识模糊和癫痫发作就诊,在外院神经内科治疗数月未能明确病因。体格检查提示假性脑膜炎,无局灶性神经功能缺损。头部和脊柱MRI T1加权成像显示典型的广泛性脑脊膜线样强化(图A)。
 
图A.头部MRI影像学表现
 
随后进行了腰椎穿刺,脑脊液压力为330 mmH2O(参考范围:80~180)。脑脊液分析显示脑脊液细胞增多,包括大量核质比高、染色质粗糙的非造血大细胞(图B)。感染检测呈阴性。
 
图B.脑脊液细胞形态学检验(Wright-Giemsa染色)
 
由于持续症状性颅内压增高,患者紧急接受脑室外引流术。手术过程中,打开硬脑膜后发现典型的“黑色软脑膜”(图C)。
 
图C.软脑膜变黑
 
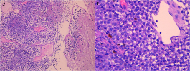
软脑膜组织活检病理结果显示,肿瘤由弥漫一致的圆形肿瘤细胞构成,见肿瘤细胞沿蛛网膜下腔播散生长,高倍镜下肿瘤细胞核偏位,胞浆嗜酸性,可见核仁,散在肿瘤细胞胞浆内色素沉积(图D-E)。
 
图D-E.软脑膜组织活检病理(D:HE×100;E:HE×400)
 
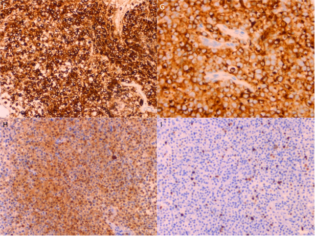
免疫组化(Melan-A、HMB45和S-100强阳性)提示为恶性黑色素瘤(图F-I)。
 
图F-I.免疫组化染色(IHC×200)
F:HMB45显示肿瘤细胞弥漫阳性;G:MelanA显示肿瘤细胞弥漫阳性;H:S-100显示肿瘤细胞弥漫性阳性;I:Ki-67显示中瘤细胞约5%阳性。
 
在详细的皮肤检查、眼底检查及全身PET/CT检查中,均未发现其他部位的黑色素瘤。诊断结果为原发性弥漫性脑膜黑色素瘤病——一种罕见的原发性中枢神经系统黑色素瘤。BRAF V600基因突变检测呈阴性。患者随即开始接受免疫治疗,但在确诊7个月后死亡。
 
研究者说
 
原发性脑膜黑色素瘤病极为罕见,既往相关研究也多为单个病例报告,本报告对患者的临床症状、影像学表现、脑脊液细胞形态学特征、术中发现、病理学改变等进行了总结,为本病的诊断提供了更多参考依据。
 
既往有研究[6]发现,脑室和腰椎穿刺脑脊液检查结果的差异很大,脑室外引流样本多次检测结果为正常或接近正常,而腰椎穿刺样本最终可确诊,提示过度依赖脑脊液检测结果可能会延误确诊。根据我们既往脑膜病理活检的相关研究[7],脑膜病理检查能提高脑膜转移癌的确诊率;这也提示我们,脑膜病理活检对于其他脑膜恶性疾病也具有良好的诊断价值,并为进一步深入探索脑膜黑色素瘤和脑膜转移癌的分子机制研究提供了可能。
 
原发性脑膜黑色素瘤病作为一种罕见病,其诊治难度高,离不开多学科的力量的支持。该病例的诊治得到了肿瘤综合诊疗科甄俊杰博士、杨艳莹主治医师、苏一博博士、邓官华物理医师,神经外二科林涛主任、刘妲主治医师、陈志杰主治医师,检验医学科许绍强主任和病理科李海南主任的大力支持。
 
罕见病的发病率极低,需要我们从一个个病例中逐渐积累诊治经验,我们将此例原发性脑膜黑色素瘤病患者的诊治经验进行共享,以期让更多人认识这一罕见病,也期待未来能有更多专家、学者对该病进行更多分子水平的探索,逐步实现早发现、早诊断、能治疗、能管理的目标。
 
参考文献
 
[1]Ohgaki H,Wiestler OD,Cavenee WK,et al.WHO Classification of Tumors of the Central Nervous System.International Agency for Research on Cancer;2016.
 
[2]Küsters-Vandevelde HV,Küsters B,van Engen-van Grunsven AC,Groenen PJ,Wesseling P,Blokx WA.Primary melanocytic tumors of the central nervous system:a review with focus on molecular aspects.Brain Pathol.2015;25(2):209-226.doi:10.1111/bpa.12241
 
[3]Louis DN,Perry A,Wesseling P,et al.The 2021 WHO Classification of Tumors of the Central Nervous System:a summary.Neuro Oncol.2021;23(8):1231-1251.doi:10.1093/neuonc/noab106
 
[4]Lang-Orsini M,Wu J,Heilman CB,et al.Primary meningeal melanoma masquerading as neurofibromatosis type 2:illustrative case.J Neurosurg Case Lessons.2021;2(20):CASE21444.Published 2021 Nov 15.doi:10.3171/CASE21444
 
[5]Wen L,Cai L.Primary Diffuse Meningeal Melanomatosis.N Engl J Med.2023;388(20):1892.doi:10.1056/NEJMicm2212333
 
[6]Eaton J,Lee S,Kerrigan DLG.Primary leptomeningeal melanomatosis manifesting as new-onset refractory status epilepticus a case report-Where do you get the best cerebrospinal fluid sample?.Seizure.2021;86:77-79.doi:10.1016/j.seizure.2021.01.022
 
[7]刘妲,陈志杰,蔡林波,山常国,王辉,洪伟平,周成,文磊,林涛.脑膜病理检查在疑似脑膜转移癌患者中的应用研究[J].国际神经病学神经外科学杂志,2021,48(2):154-158.DOI:10.16636/j.cnki.jinn.1673-2642.2021.02.011.
 
蔡林波教授
主任医师,肿瘤综合诊疗科学科带头人,暨南大学博士生导师
广东三九脑科医院党委书记、副院长
中国研究型医院学会精准神经外科专业委员副主任委员、中国医师协会脑胶质瘤专业委员会常委、广东省医师协会放射治疗医师分会主任委员、广州抗癌协会神经肿瘤专业委员会主任委员等。现任广东三九脑科医院党委书记、副院长。
擅长儿童神经系统肿瘤、脑转移瘤、脑胶质瘤的诊疗,对恶性神经系统肿瘤的放疗、化疗与靶向药物综合治疗具丰富的经验和见解。首先提出急诊放疗用于挽救颅内危重生殖细胞瘤患儿,担任《中国抗癌协会整合诊治指南-髓母细胞瘤整合诊治指南》、《中国抗癌协会整合诊治指南-中枢神经系统生殖细胞肿瘤整合诊治指南》主要编委成员。对脑转移瘤尤其是晚期难治性脑转移瘤开展基于立体定向放射外科的分阶段、个体化综合治疗策略,作为主要成员参与制定了我国《肺癌脑膜转移瘤诊治共识》;率先开展了嵌合抗原受体T细胞(CAR-T)在脑胶质母细胞瘤治疗的临床研究以及针对脑胶质瘤全基因组测序与高危患者基因标志物识别分析研究。
 
文磊博士
主治医师,肿瘤学博士
主要研究方向为神经系统肿瘤的放射治疗及综合治疗。以第一/通讯作者(含共同)在Journal for ImmunoTherapy of Cancer等期刊发表SCI论文16篇。

本内容仅供医学专业人士参考


黑色素瘤

分享到: 更多

相关幻灯