当前位置:肿瘤瞭望>资讯>访谈>正文

廖宁教授|美国NCCN乳腺癌专业委员会主席Gradishar教授——每周三国际MDT会诊

作者:肿瘤瞭望   日期:2021/9/18 11:24:42  浏览量:12921

肿瘤瞭望版权所有,谢绝任何形式转载,侵犯版权者必予法律追究。

为了更好地促进乳腺肿瘤领域医护人员学术交流与学习,更好地服务乳腺癌患者,同时帮助乳腺癌患者与家属更好地面对乳腺肿瘤解决诊疗过程中的疑惑,广东省人民医院乳腺科学科带头人廖宁教授发起了“廖宁教授周三见”系列栏目。

编者按:为了更好地促进乳腺肿瘤领域医护人员学术交流与学习,更好地服务乳腺癌患者,同时帮助乳腺癌患者与家属更好地面对乳腺肿瘤解决诊疗过程中的疑惑,广东省人民医院乳腺科学科带头人廖宁教授发起了“廖宁教授周三见”系列栏目。“廖宁教授周三见”每周三19:30~21:30线上直播,并邀请乳腺癌领域国际和国内阵容鼎盛的讲者团坐镇,对国内外疑难病例进行会诊,并围绕领域前沿进展、治疗规范等话题进行探讨与点评,以期培养国内医生的国际学术视野,与国际前沿同步,在未来发出更为铿锵的“中国之声”。

 
2021年9月8日,廖宁教授与美国国立综合癌症网络(NCCN)乳腺癌临床实践指南主席William Gradishar教授、国际前哨淋巴结学会主席Charles Balch教授共同主持了本次直播会议。William Gradishar教授首先为我们介绍了2021年第八版NCCN指南即将更新的要点;随后,廖宁教授与国际会诊团队专家成员共同就一例三阴性乳腺癌患者的治疗进行了MDT讨论,国内与国际专家纷纷给出了治疗意见。
 
William Gradishar教授:2021年第八版NCCN指南要点更新
 
William Gradishar教授介绍到,鉴于阿替利珠单抗联合化疗用于治疗PD-L1阳性不可切除的局部晚期或转移性三阴性乳腺癌(mTNBC)适应证的撤回和IMpassion 130研究最终结果的公布,2021年第八版NCCN指南也对其相应部分进行了更新:对于HR-/HER2- PD-L1表达CPS≥1的乳腺癌患者的治疗,阿替利珠单抗联合白蛋白紫杉醇将从指南中删除。
 
对于MSI-H/DMMR等肿瘤突变负荷(TMB)较高的患者,可以选择帕博利珠单抗进行治疗,新药Dostarlimb-gxly的出现,使患者有了更多治疗选择。2021年第八版NCCN指南也对MSI-H/DMMR患者进行了推荐。
 
 
根据OlympiA临床研究的最新数据,2021年第八版NCCN指南也将对相应部分的脚注进行修改。
 
对于携带gBRCA1/2突变的TNBC患者,如果:1)存在≥pT2或≥pN1疾病,可考虑辅助化疗后加用1年奥拉帕利治疗(1类证据);2)接受过术前化疗且有残留疾病,可考虑给予1年奥拉帕利辅助治疗。
 
对于携带gBRCA1/2突变的HR+/HER2-患者,如果:1)存在≥4个阳性淋巴结,可考虑辅助化疗后加用1年奥拉帕利治疗(2A类证据);2)接受过术前化疗且有残留疾病,临床分期、病理分期、雌激素受体状态和肿瘤分级(CPS+EG)≥3分,可考虑给予1年奥拉帕利辅助治疗,奥拉帕利辅助治疗可与内分泌治疗同时使用。
 
从上述内容可见,指南对HR阳性患者认为可以考虑奥拉帕利辅助治疗,要求条件略有差异。此外,OlympiA研究中未对卡培他滨治疗应用的先后顺序提供指导依据。
 
 
对于高复发风险的TNBC患者治疗推荐:新辅助治疗阶段,可以使用帕博利珠单抗+卡铂+紫杉进行治疗,患者术后辅助治疗可序贯帕博利珠单抗联合蒽环类药物,该推荐基于KEYNOTE 522研究。
 
 
最后,William Gradishar教授特别指出,当前这些指南更新要点未最终定稿,随着研究结果的出炉,部分数据可能还会做出相关改动,期待最终版本的发行。
 
国际会诊团队病例讨论
 
患者基本情况:
 
患者,女,33岁,绝经前。
 
2021.4患者左乳可见巨大肿物,突出皮肤表面,伴红肿,皮肤无破溃。
 
PET-CT:1、左乳(乳头后)肿块,符合乳腺癌;左侧锁骨上、左侧内乳区及左侧腋窝多发淋巴结,符合转移。2、右下腹肿块(3.0*3.6cm),代谢活跃(SUV=10),拟炎性病变与肿瘤鉴别。左髂血管旁数个稍大淋巴结(1.0*1.6cm),代谢活跃拟炎症。 
 
2021.4左乳穿刺病理:
 
浸润性导管癌,Ⅲ级。
 
免疫组化:ER(-),PR(-),HER2(1+,FISH-),Ki67(80%),PD-L1(CPS 1)。
 
分期:cT4N3,分子分型:TNBC
 
患者NGS检测结果如下图所示:
 
 
2021.5月-8月予4周期白蛋白紫杉醇联合抗PD-1治疗。
 
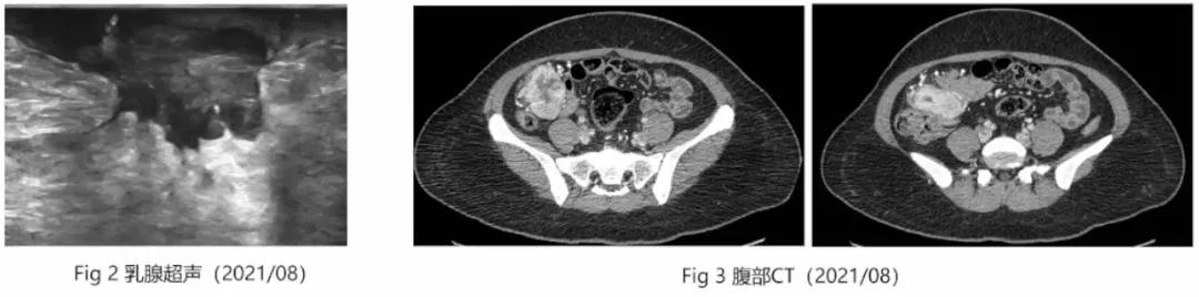
2021.8乳腺彩超示:左侧乳腺结节大小约2.0×1.9cm,乳腺结节部分缓解(Fig 2)。
 
CT示:右下腹部肿块(6*5cm)较前增大,考虑小肠来源胃肠间质瘤(Fig 3)。
 
 
2021.8行左侧乳癌改良根治术+小肠部分切除术
 
病理示:(左乳腺+左腋窝)乳腺浸润性癌,非特殊类型,Ⅲ级。肿瘤最大径约1.7cm;皮肤、乳头及切缘未见癌;腋窝组织内淋巴结可见转移癌(2/27)。
 
免疫组化:ER(-),PR(-),HER2(1+,FISH-), Ki67(50%),PD-L1(22C3)(CPS 80)。
 
(小肠肿物)胃肠间质瘤,肿瘤最大径约5cm;大网膜未见肿瘤。
 
免疫组化:CD117(+++), DOG1(+++), Ki67(1%), BRAF V600E(-),CD34(+++),SOX10(-), S100(部分+),SMA(-),Caldesmon(-).
 
该患者的治疗时间轴如下图所示:
 
 
问题:这位33岁的患者确诊左乳局部晚期乳腺癌(TNBC),PET-CT发现腹部结节。行化疗+免疫治疗后,乳腺肿物部分缓解,行左乳改良根治术+小肠肿物切除术,术后病理提示左乳腺癌(pT1N1),小肠结节的术后病理为胃肠间质瘤。下一步的治疗策略是?
 
广东省人民医院吴德庆教授:≥5cm的胃肠间质瘤患者,其发生疾病转移与死亡的风险均会较高。考虑目前患者5mm2的核分裂象为2个,其预后可能会相对较好。综合以上患者的各项检查指标或临床检验结果,推荐患者接受伊马替尼400mg/d进行口服治疗,连续服用三年。治疗中我们也要考虑伊马替尼是否会对乳腺癌患者的治疗产生不良影响,如果治疗中患者出现转移,可以根据患者的症状,加大服用量(600~800mg/d)。
 
Charles Balch教授:我同意吴德庆教授的意见,给予患者伊马替尼治疗十分有必要。但我们也应考虑该药物是否能够为TNBC患者带来获益,或者是否有更有效的小分子TKI药物进行治疗。
 
William Gradishar教授:我同意两位教授的观点。该患者为TNBC乳腺癌患者,初诊时患者CPS评分为1分,接受4周期白蛋白紫杉醇联合抗PD-1治疗新辅助化疗后,患者的CPS评分为80分,因此我建议对患者进行后续的治疗。根据KEYNOTE 522研究,建议患者完成手术后,继续进行PD-1联合蒽环类药物的辅助治疗。
 
患者用伊马替尼治疗胃肠间质瘤期间,应注意其血液学毒性的控制和预防,尤其在联合应用和开始用药前几个周期。
 
廖宁教授:从以上相关数据我们可以看出,患者的疾病复发风险相对较高。对于乳腺癌的治疗,几位专家均建议其完成蒽环联合免疫治疗的辅助治疗后,继续使用小分子TKI药物——伊马替尼400mg进行口服治疗,治疗期间应密切关注患者的血象变化,及时发现不良反应并给予处理措施。
 
首席主持
 
 
 
廖宁 教授
 
广东省人民医院乳腺科行政主任,博士生导师
 
美国肿瘤外科医师协会(SSO)国际理事会理事
 
国际前哨淋巴结协会(ISNS)国际理事会理事
 
美国癌症研究协会(AACR)中国区顾问
 
国家卫计委医政司《乳腺癌治疗规范》编写组成员
 
国家卫计委《乳腺癌诊断指南》专家组成员
 
国家卫计委合理用药专家委员会《肿瘤药物组》专家组成员
 
美国NCCN乳腺癌指南(中文版)专家组成员
 
St Gallen国际乳腺癌指南(中文版)专家组成员
 
擅长领域:擅长乳腺肿瘤微创手术,专长乳腺癌的早期诊断和化疗、靶向治疗、内分泌治疗等结合的综合治疗,以及晚期、难治性乳腺癌的治疗
 
发表文章:第一作者或通讯作者发表论文30余篇。
 
科研及获奖:以第一研究者承担多项国家自然科学基金、国家自然科学青年基金

本内容仅供医学专业人士参考


乳腺癌

分享到: 更多