当前位置:肿瘤瞭望>资讯>正文

优例共赏丨广泛期小细胞肺癌使用斯鲁利单抗免疫再挑战成功案例分享

作者:肿瘤瞭望   日期:2022/10/19 11:37:29  浏览量:10663

肿瘤瞭望版权所有,谢绝任何形式转载,侵犯版权者必予法律追究。

肺癌是肿瘤相关死亡率最高的恶性肿瘤

▌病例作者:廖琴树兰(杭州)医院
▌点评作者:牟海波树兰(杭州)医院
 
摘要:肺癌是肿瘤相关死亡率最高的恶性肿瘤[1]。小细胞肺癌(SCLC)是肺癌中侵袭性最强的一种亚型,此类肿瘤恶性程度高、倍增时间短、易发生远处转移,初次就诊时即有约2/3患者被诊断为广泛期,约占所有肺癌患者的15-20%,与吸烟密切相关。广泛期小细胞肺癌(extensive-stage SCLC,ES-SCLC)患者的有效治疗方案有限,既往几十年间,一线标准治疗方案为含铂药物化疗,有效率高达60-80%,但患者往往短期内出现复发及耐药,中位生存期仅有10个月左右,5年总生存率不足5%[2]。近年来,随着免疫治疗的广泛应用,一线免疫联合化疗在ES-SCLC患者中显示出良好的OS和PFS获益。但复发SCLC患者预后差,选择方案少,免疫治疗在二线及后线治疗SCLC的探索步伐尚未停歇。目前已有研究探索免疫联合抗血管药物(安罗替尼)二线及后线治疗ES-SCLC的有效性,研究结果初步显露了良好的抗肿瘤活性及耐受性[3]。本文分享一例经一线度伐利尤单抗联合化疗治疗后出现2级免疫性肺炎,后线应用斯鲁利单抗联合安罗替尼治疗ES-SCLC患者病例,探讨免疫联合抗血管靶向药物治疗在ES-SCLC中的疗效和安全性。
 
病例作者
廖琴教授
肿瘤学硕士,高年资主治医师
树兰(杭州)医院肿瘤科主任助理,教学秘书
欧洲肿瘤内科学会会员
中国抗癌协会和中国临床肿瘤学会会员
浙江省抗癌协会肿瘤病因专业委员会委员
2021年度树兰(杭州)医院“先进工作者”。
从事肿瘤内科工作近10年。擅长肝胆胰恶性肿瘤、结直肠癌、肺癌、乳腺癌等各种晚期肿瘤的化疗、靶向和免疫治疗。对晚期肿瘤的姑息治疗、热疗和癌痛的规范化治疗有丰富临床经验。
 
病例介绍
 
患者:男,70岁
 
主诉:间断咳嗽伴咯血2月余。
 
既往史:否认高血压、糖尿病、乙肝、结核病史。
 
个人史:吸烟40年,20支/天,已戒烟。
 
家族史:无肿瘤家族史,无遗传病史。
 
查体:PS评分1分,全身浅表淋巴结未见肿大,双肺呼吸音粗,未闻及明显啰音。
 
▌影像学检查
 
2021年4月25日胸部CT提示:左上肺占位,左肺?增?,考虑左上肺癌伴左肺?及纵隔淋巴结转移,两肺散在炎症,左肺上叶部分实变。左肺下叶磨玻璃结节。
 
2021年4月29日PET-CT提示:1.左肺上叶占位并代谢增?,考虑恶性肿瘤并侵犯左上纵隔;2.纵隔及左肺?淋巴结转移并融合;3.左侧肾上腺?结节并代谢增?,考虑转移。
 
▌肿瘤病理
 
2021年4月27日行超声引导下左上肺占位穿刺活检,病理示:低分化癌伴大片坏死,结合免疫组化,符合小细胞癌。
 
2021年5月7日病理组织送检NGS:PD-L1表达阴性,TMB-L。
 
▌肿瘤分子病理
 
免疫组化(2021005137-2)结果:CD56(+),CK(Pan)(+),CgA(-),Ki-67(80%+),LCA(-),NSE(+),Syn(+),TTF1(-)。
 
▌诊断
 
左上肺小细胞癌(cT4N2M1bⅣb期,广泛期)
 
▌第一阶段治疗
 
2021年5月8日、2021年5月29日行“PDL1+EC”方案2周期,具体用药方案为:度伐利尤单抗1000mg d1+依托泊苷150mg d1-3+卡铂400mg d1 q3w。
 
2021年6月18日治疗两周期后复查胸部CT提示:肿瘤较前明显缩小(4.5cm→2.0cm),新增多发炎性病灶,总体疗效评价为PR。
 
图1.患者治疗前后胸部病灶对比
 
度伐利尤单抗联合EC方案治疗期间发生I度骨髓抑制、I度胃肠道不良反应。
 
患者无咳嗽、咳痰、发热等症状,2021年6月18日开始给予左氧氟沙星经验性抗感染治疗。
 
2021-06-23??管镜肺泡灌洗送检细菌、真菌、结核及NGS均为阴性。送检痰涂片和痰培养也均为阴性。
 
2021年6月27日抗感染9天后,复查胸部CT提示:两肺炎症较前无好转。
 
综上,排除感染性肺炎可能。
 
综合评估后,考虑发生2级免疫性肺炎
 
停用度伐利尤单抗,2021年6月29日开始行第3周期EC方案化疗,具体用药方案为:依托泊苷150mg d1-3+卡铂400mg d1 q3w。
 
2021年6月28日开始给予静脉激素治疗:甲强龙40mg qd 5天,后每周缓慢减量。
 
2021年7月19日激素治疗3周后,胸部CT提示:两肺炎症较前明显好转,肿瘤疗效评价持续PR(4.5cm→1.6cm)。
 
2021年7月20日继续完成第4周期EC方案化疗,具体用药方案为:依托泊苷150mg d1-3+卡铂400mg d1 q3w。
 
2021年7月26日患者激素甲泼尼松龙片已缓慢减量?8mg qd。
 
2021年8月11日激素治疗6周后,胸部CT提示两肺炎症较前进?步好转。肿瘤疗效评价持续PR(4.5cm→1.6cm)。
 
2021年8月11日免疫性肺炎已缓解至≤G1级
 
2021年8月11日、2021年9月4日继续完成第5、6周期EC方案治疗,未重启免疫,具体用药方案为:依托泊苷150mg d1-3+卡铂400mg d1 q3w。
 
期间继续口服甲泼尼松龙片4mg qd。
 
2021年9月26胸部CT提示间质性肺炎较前进?步好转,肿瘤略增大(1.6cm→2.2cm),疗效评价PD。
 
图2.患者治疗前后肺炎情况对比
 
▌第二阶段治疗
 
因患者拒绝二线静脉化疗,2021年9月28日开始口服安罗替尼10mg d1-14 q3w治疗,期间复查几次胸部CT,均疗效评价SD。
 
2022年5月10日胸部CT疗评进展(2.2cm→2.9cm)后,建议患者改三线化疗,患者拒绝。
 
▌第三阶段治疗
 
2022年6月1日开始给予患者斯鲁利单抗200mg q3w+安罗替尼10mg d1-14 q3w治疗。
 
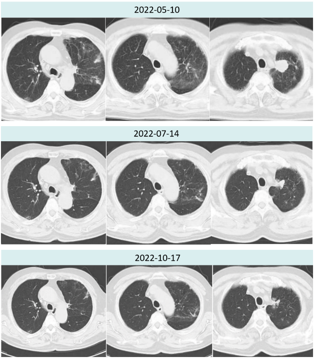
2022年7月14日斯鲁利单抗联合安罗替尼治疗两周期后,胸部CT提示肿瘤病灶较前再次缩小,疗效评价PR(2.9cm→1.6cm),且两肺间质性炎症较前好转。
 
2022年10月17日斯鲁利单抗联合安罗替尼治疗六周期后,胸部CT提示肿瘤病灶较前继续缩小,疗效评价持续PR(2.9cm→1.4cm)。
 
图3.患者治疗前后胸部病灶及肺炎情况对比
 
目前患者已完成6疗程斯鲁利单抗200mg q3w治疗,暂时未出现明显irAE。
 
▌病例小结
 
该例患者为广泛期小细胞肺癌,依据2021年CSCO小细胞肺癌诊疗指南及NCCN指南推荐,一线应用度伐利尤单抗联合EC方案化疗,疗效佳,但很快出现2级免疫性肺炎。二线安罗替尼治疗期间,肿瘤退缩不明显。2022年ASCO大会口头报道的ASTRUM-005研究中斯鲁利单抗有较好的安全性,后线尝试斯鲁利单抗联合安罗替尼治疗,令人惊喜的是,肿瘤出现明显退缩,2周期后影像学检查提示疗效即达到PR,疗效显著。
 
在应用斯鲁利单抗伊始,CT显示该患者间质性肺炎仍未完全消退,使用斯鲁利单抗治疗期间未出现间质性肺炎加重或其他免疫不良反应。目前患者已应用斯鲁利单抗联合安罗替尼治疗6周期,持续PR大于4月。我们将继续跟进患者疗效与不良反应发生情况,期待为患者带来长久生存获益。
 
点评专家
牟海波教授
树兰(杭州)医院
医学博士,肿瘤内科主任,主任医师
CSCO胃癌专家委员会委员
CSCO中西医结合专家委员会委员
浙江省抗癌协会常务理事
中国微循环协会肝脏微循环专业委员会常委
中国非公立医疗机构协会肿瘤专业委员会常委
浙江省抗癌协会肿瘤精准诊治专业委员会常委
浙江省医师协会肿瘤精准治疗专业委员会委员
浙江省医师协会肿瘤MDT专业委员会委员
浙江省数理协会肿瘤精准诊疗专业委员会委员
浙江省转化医学学会精准医学分会委员
浙江省药理学会临床药理专业委员会委员
浙江省抗癌协会科普工作委员会委员
浙江省人口与健康学会肿瘤康复促进专业委员会委员
 
病例点评
 
肺癌是我国死亡率占据首位的恶性肿瘤,根据GLOBOCAN 2020年发布的最新数据显示:中国肺癌新发病例约81.56万,死亡病例约71.47万[1]。小细胞肺癌(SCLC)占肺癌总数的15-20%,其恶性程度高、侵袭性强、预后差。现阶段SCLC治疗多以化疗为基石,免疫治疗的出现,为SCLC治疗带来新的希望。免疫治疗在SCLC的探索首先在后线开启,基于CheckMate032、KEYNOTE028和KEYNOTE158研究的结果[4-5],纳武利尤单抗和帕博利珠单抗使部分ES-SCLC获益,但CheckMate331、EA5161和KEYNOTE 604研究的折戟[6-8],使PD-1抑制剂在ES-SCLC领域的治疗探索步履维艰。IMpower133、CASPIAN研究中,PD-L1抑制剂联合化疗使ES-SCLC中位生存时间提升2个月,开启了免疫治疗在ES-SCLC一线治疗应用之路。但ES-SCLC治疗中,仍有许多临床未被满足的需求。2022年ASCO大会口头报告的ASTRUM-005研究大放异彩,该研究于2022年9月27日荣登国际医学顶级期刊JAMA发表[9],斯鲁利单抗联合EC方案治疗ES-SCLC患者的中位OS达到前所未有的15.4个月,较对照组显著提升4.5个月,而且试验组和对照组在PFS(5.7 vs 4.3个月)及ORR(80.2%vs 70.4%)方面也有显著获益,研究期间安全性良好,未出现新的安全信号。斯鲁利单抗成为全球首个在ES-SCLC一线治疗取得阳性结果的PD-1抑制剂。
 
临床试验的优异结果需真实世界用药情况加以验证。本例患者初诊为广泛期小细胞肺癌,一线应用度伐利尤单抗联合标准化疗方案,治疗2周期后出现2级免疫性肺炎,经激素治疗缓解至1级,参照相关指南建议延迟或暂停ICIs,重新评估后再考虑免疫重启。第3周期开始停用免疫,化疗6周期结束后,给予安罗替尼单药治疗,复查显示肿瘤再次增大且伴双肺间质性肺炎。考虑到ASTRUM-005研究中斯鲁利单抗良好的安全性,后线给予斯鲁利单抗联合安罗替尼方案,治疗2周期复查提示疗效达PR,且未出现间质性肺炎加重和其他irAE,目前此患者已持续PR超过4个月,期待给予患者长久的临床获益。
 
该病例是较为典型的后线ES-SCLC用药治疗案例,2022年CSCO小细胞肺癌诊疗指南推荐,二线SCLC治疗仍以化疗为主,三线及以上SCLC治疗I级推荐药物为安罗替尼,复发SCLC患者预后差,改善此类患者预后仍有很大空间。抗血管治疗联合免疫治疗实现对肿瘤微环境的双重调控,成为SCLC研究的热点之一。2022年ASCO大会报道信迪利单抗联合安罗替尼治疗小细胞肺癌二线及以上的小样本II期研究结果,初步显示出良好的抗肿瘤活性和安全性。该真实病例证明斯鲁利单抗联合安罗替尼后线治疗ES-SCLC具有良好的疗效和安全性。斯鲁利单抗作为国产原研创新药,凝聚了我国学者和企业的心血,目前斯鲁利单抗在肺癌领域设有多项研究布局,期待研究数据进一步披露,为临床治疗提供更多的选择,惠及更多肺癌患者。
 
▌参考文献
 
[1]International agency for research on cancer.Globocan 2020.Lung.
 
[2]Pavan A,Attili I,Pasello G,et al.Immunotherapy in small-cell lung cancer:from molecular promises to clinical challenges[J].J Immunother Cancer,2019,7(1):205.
 
[3]2022ASCO abstract ID:8516.
 
[4]Ready NE,Ott PA,Hellmann MD,et al.Nivolumab monotherapy and nivolumab plus ipilimumab in recurrent small cell lung cancer:results from the CheckMate 032 randomized cohort[J].J Thorac Oncol,2020,15:426-435.
 
[5]Chung HC,Piha-Paul SA,Lopez-Martin J,et al.Pembrolizumab after two or more lines of previous therapy in patients with recurrent or metastatic SCLC:results from the KEYNOTE-028 and KEYNOTE-158 studies[J].J Thorac Oncol,2020,15(4):618-627.
 
[6]Horn L,Reck M,Gettinger S N,et al.CheckMate 331:An open-label,randomized phase III trial of nivolumab versus chemotherapy in patients(pts)with relapsed small cell lung cancer(SCLC)after first-line platinum-based chemotherapy(PT-DC).[J].Journal of Clinical Oncology,2016,34(15_suppl):TPS8578-TPS8578.
 
[7]Leal T,Wang Y,Dowlati A,et al.Randomized phaseⅡclinical trial of cisplatin/carboplatin and etoposide(CE)alone or in combination with nivolumab as frontline therapy for extensive-stage small cell lung cancer(ES-SCLC):ECOG-ACRIN EA5161[J].J Clin Oncol,2020,38(Suppl 15):9000.
 
[8]Rudin CM,Awad MM,Navarro A,etal.Pembrolizumab or placebo plus etoposide and platinum as first-line therapy for extensive-stage small-cell lung cancer:randomized,double-blind,phase III KEYNOTE-604 study.J Clin Oncol.2020;38:2369-2379.
 
[9]Cheng Y,Han L,Wu L,et al.Effect of First-Line Serplulimab vs Placebo Added to Chemotherapy on Survival in Patients With Extensive-Stage Small Cell Lung Cancer:The ASTRUM-005 Randomized Clinical Trial.JAMA.2022;328(12):1223–1232.

本内容仅供医学专业人士参考


肺癌

分享到: 更多